猴痘疫情擴散 世界多國相繼通報病例

2022-05-20     緣分

猴痘疫情擴散 世界多國相繼通報病例 (墨爾本20日訊)跡象顯示,罕見的人畜共同傳染病毒「猴痘」(monkeypox)正在世界各地傳播。繼英國、葡萄牙、西班牙和美國發現病例後,澳洲、加拿大、義大利、瑞典、比利時和法國也相繼宣告國內發現猴痘病例或疑似病例。

綜合路透社等媒體報導,這種最早在猴子身上發現的罕見疾病,症狀類似天花但較為溫和,通常是發燒頭痛、肌肉疼痛、淋巴結腫大、畏寒、疲倦,還有手與臉部長滿如如水痘般的皮疹,但傳染力與致死率都比天花低。

猴痘病毒過去主要在西非、中非地區出現,多以飛沫、體液、密切身體接觸的傳染途徑,共用床單、衣物等都可能染病。猴痘有兩種主要病毒株:剛果病毒株,比較嚴重,死亡率高達10%;另一個則是西非病毒株,約1%的致死率。

澳洲周五發現一宗猴痘確診病例,以及一宗疑似病例。維多利亞州衛生部門證實,患者是本周一從英國返回墨爾本的一名30多歲男子;雪梨一名40多歲男子發現了疑似病症,他最近曾到歐洲旅行。衛生官員說,這兩名男子在病情輕微,症狀與猴痘臨床相符,已經向國內醫生和醫院發出醫療警報。

加拿大17疑似病例全員隔離

Advertisement

加拿大公共衛生署當地時間周四通報,魁北克省發現了兩宗確診病例,這是加拿大首次出現這種罕見病毒病例。

魁北克省說蒙特婁地區有17宗疑似病例,患者已全員隔離等待化驗報告,其中有人可能與美國的確診者有所關連。美國麻薩諸塞州周三通報該國今年第一宗猴痘案例,患者最近曾到過魁北克省。

義大利首都羅馬的Spallanzani醫院,周四診斷出當地第一宗確診案例,病例已經國家傳染病研究院證實。染病的男子最近從西班牙的加納利群島回國,目前在醫院隔離治療中。醫院說,還有另外兩起疑似病例尚在確認中。

瑞典公共衛生局同日表示,一位住在斯德哥爾摩地區的民眾確診猴痘,聲明指患者「病情不嚴重,已經接受治療。」「目前不清楚感染源頭,正在進行調查。」

比利時公廣集團VRT也報導說,安特衛普熱帶醫學研究院通報一宗確診病例,染病者沒有嚴重症狀,衛生當局正在追查其接觸者。

法國衛生部同日也宣布,在大巴黎區發現了法國境內第一起猴痘病毒疑似病例。

葡萄牙目前已通報14宗確診,以及大約20宗疑似病例,是疫情最嚴重的國家。衛生當局周四表示,擔心這種疾病的傳播,呼籲已出現症狀的人應避免和其它人有肢體接觸,但由於傳播風險很低,因此要求民眾保持冷靜。

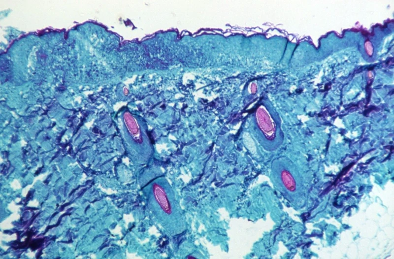
猴痘疫情擴散 世界多國相繼通報病例 從感染猴痘病毒的猴子皮膚損傷處,採集的皮膚組織切片,放大50倍的影像。(圖取自路透社/美國疾控中心)

葡萄牙官員指,感染者年齡介於20歲至40歲之間、自稱為同性戀、雙性戀,或曾與男性發生性行為的男性。他們都在性病診所求醫時發現的,大多症狀輕微,無人需要住院。這些病患都沒有非洲旅遊史,當局無法找到這些病例間的關聯。

西班牙截至周四已有7宗確診、22宗疑似病例,全在馬德里地區。衛生官員說,未來幾天可預料會有更多病例。

已有9宗猴痘的西非病毒株病例的英國,將提供天花疫苗給部分醫護人員和其他曾接觸確診者的人接種。目前沒有針對猴痘的特定疫苗,但天花疫苗可提供一些保護力。世界衛生組織(WHO)資料指天花疫苗對猴痘的防護力可達85%。

根據世衛的紀錄,近年染病者多半有奈及利亞旅遊史,奈及利亞最近5年來通報558宗疑似猴痘病例,其中241宗確診,8人病逝。今年之內非洲有4個國家通報猴痘病例,包括喀麥隆、中非共和國、奈及利亞以及剛果民主共和國。

延伸閱讀:歐洲3國與美國 驚傳罕見「猴痘」病例

 

  • 英國新增11宗猴痘病例
  • 諾希山:大馬密切監督「猴痘」疫情發展
  • 歐洲3國與美國 驚傳罕見「猴痘」病例
  • 美國得州現猴痘病毒個案 患者曾訪奈及利亞


分享到